Introduction
Headaches are common, but not all headaches are the same. If your headache worsens when standing and improves when lying down, it could be a sign of Spontaneous Intracranial Hypotension (SIH) — a condition caused by a leak of cerebrospinal fluid (CSF) from the spine.
Although SIH is relatively uncommon, it is often underdiagnosed or mistaken for migraine or tension headaches. At London Spine Health, we specialise in identifying complex spinal conditions, including CSF leaks, and providing targeted treatment to restore normal function and relieve symptoms.
What Is Spontaneous Intracranial Hypotension?
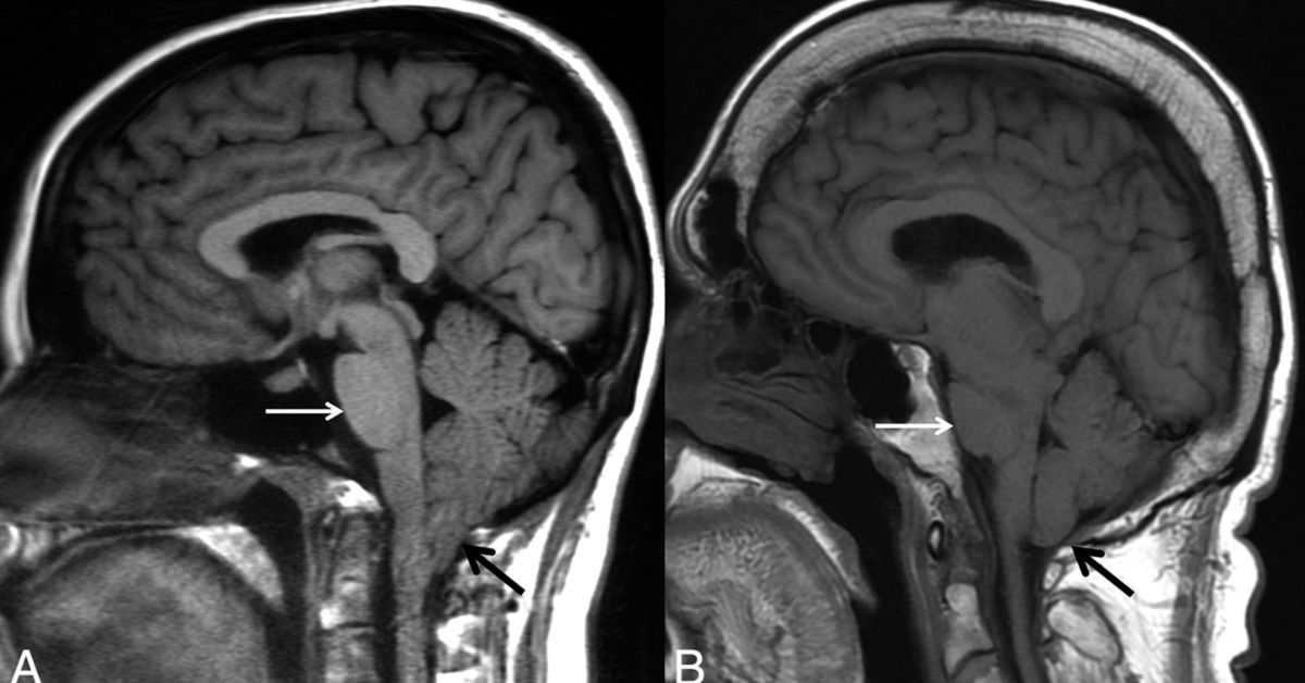
Spontaneous intracranial hypotension occurs when there is a reduction in cerebrospinal fluid pressure due to a leak in the spinal dura. CSF surrounds and cushions the brain and spinal cord, maintaining stable pressure within the skull.
When this fluid leaks, the pressure inside the skull drops, causing the brain to shift slightly downward. This leads to a distinctive type of headache known as an orthostatic headache, which changes with posture.
Unlike headaches caused by stress or dehydration, SIH is directly linked to spinal fluid dynamics and requires specialised evaluation.

Common Symptoms of SIH
The hallmark symptom of SIH is a positional headache, but other symptoms may include:
- Headache that worsens when standing or sitting upright
- Relief of symptoms when lying flat
- Neck stiffness or discomfort
- Nausea and occasional vomiting
- Sensitivity to light and sound
- Dizziness or imbalance
- Hearing disturbances or ringing in the ears
- Fatigue and difficulty concentrating
In some cases, symptoms may develop gradually, making it difficult for patients to recognise the condition early.
What Causes SIH?
SIH is usually caused by a spontaneous tear or weakness in the dura, allowing cerebrospinal fluid to leak out. Common contributing factors include:
- Minor trauma or strain (often unnoticed)
- Degenerative changes in the spine
- Bone spurs that puncture the dura
- Connective tissue disorders
- Structural weaknesses in the spinal membranes
In many cases, no clear cause is identified, which is why careful imaging and clinical evaluation are essential.
How Is SIH Diagnosed?
Diagnosing SIH requires a combination of clinical suspicion and advanced imaging techniques. At London Spine Health, the diagnostic process may include:
- MRI of the brain and spine to detect signs of low CSF pressure
- CT myelography to locate the exact site of the leak
- Detailed symptom history and neurological assessment
Early and accurate diagnosis is crucial to avoid prolonged discomfort and unnecessary treatments.
Treatment Options for SIH
Treatment depends on the severity and duration of symptoms.
Conservative Management
Mild cases may improve with:
- Bed rest
- Increased fluid intake
- Caffeine consumption
- Pain relief medication
These measures aim to support natural healing of the leak.
Epidural Blood Patch
For persistent symptoms, the most effective treatment is an epidural blood patch. This involves injecting a small amount of the patient’s own blood near the leak site to seal it and restore normal CSF pressure.
This procedure often provides rapid and significant relief, sometimes within hours.
Surgical Repair
In rare or complex cases where the leak cannot be sealed with a blood patch, minimally invasive surgical repair may be required to close the defect directly.
Recovery and Prognosis
Most patients experience a good recovery once the leak is treated. The timeline varies, but many return to normal activities within weeks.
Delays in diagnosis, however, can lead to chronic symptoms, which is why early specialist assessment is essential.
When Should You Seek Help?
You should consult a specialist if:
- Your headache changes with posture
- Symptoms persist for more than a few weeks
- Standard headache treatments are ineffective
- You develop neurological symptoms such as imbalance or hearing changes
At London Spine Health, we provide expert-led evaluation and tailored treatment plans for complex spinal and neurological conditions.
Why Choose London Spine Health?
- Consultant-led care by experienced spine specialists
- Access to advanced imaging and diagnostics
- Expertise in minimally invasive spinal procedures
- Personalised treatment pathways
- Central London location on Harley Street
We focus on identifying the root cause and delivering targeted, effective care.
Book a Consultation
If you suspect Spontaneous Intracranial Hypotension or are experiencing unexplained positional headaches, expert assessment is essential.
Call +44 20 7390 6000 Or book your consultation online at London Spine Health today.